home
interpretare
contact
Radiologie veterinară
home
interpretare
contact
KLASER
Aparate radiologie veterinara
Digitalizare
Radioprotectie
Software
Cazuri
Torace
Abdomen
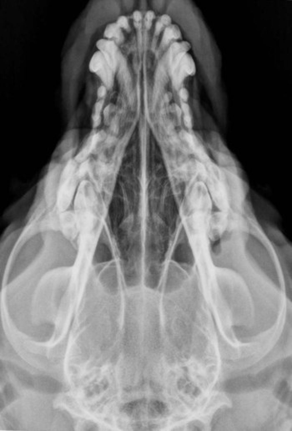
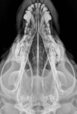
Craniu
Sold
Clientii nostri
Atlas Pozitionari
Craniu
Atlas Pozitionari
0770 515 362
mesaj